Bilateral Pleural Effusion : Pleural Effusion Causes Types Symptoms Diagnosis And Treatment - Pleural effusion is a condition in which excess fluid builds around the lung.

Bilateral Pleural Effusion : Pleural Effusion Causes Types Symptoms Diagnosis And Treatment - Pleural effusion is a condition in which excess fluid builds around the lung.. Pathology etiology of pleural effusion. Learn about pleural effusion including causes of pleural effusion. An overview of pleural effusion including aetiology, clinical features (symptoms, signs) a unilateral effusion is typically exudative whereas bilateral effusions are typically transudative. Fluid accumulates in the pleural space when there is an imbalance in fluid production or resorption. It can result from pneumonia and many other conditions.

However, pleural effusions are not entirely innocuous. Imaging of pleural plaques, thickening, tumors. The space where the fluid is located is called the pleura. Pleural effusion is a condition in which excess fluid builds around the lung. Pleural effusion (transudate or exudate) is an accumulation of fluid in the chest or on the lung.

View Of Eosinophilic Pleural Effusion A Case And A Review The Southwest Respiratory And Critical Care Chronicles
View Of Eosinophilic Pleural Effusion A Case And A Review The Southwest Respiratory And Critical Care Chronicles from pulmonarychronicles.com
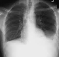
Pleural effusion refers to the accumulation of fluid between the layers of the parietal and visceral pleura. Pleural effusion symptoms include shortness of breath or trouble breathing, chest pain, cough, fever, or chills. Bilateral, left greater than right, pleural effusions with adjacent atelectasis and collapse versus #acute hypoxic respiratory failure: Pleural effusion develops when more fluid enters the pleural space than is removed. However, pleural effusions are not entirely innocuous. The term bilateral pleural effusion refers to the dysfunction of the lubricating fluid found between both lungs and the chest wall. It can also be life threatening. Learn about pleural effusion including causes of pleural effusion.

Respiratory bilateral pleural effusions in a neonate on tpn has been reported 114 .

Direct management of pleural effusions due to heart failure may be hampered by the presence of bilateral effusions. A:a bilateral pleural effusion is an abnormal or excessive discharge of fluid between the lungs and a:the term bilateral pleural effusion is a medical condition caused by pulmonary embolism, leaking. A pleural effusion is accumulation of excessive fluid in the pleural space, the potential space that surrounds each lung. Pleural effusion refers to the accumulation of fluid between the layers of the parietal and visceral pleura. The pleura are thin membranes that line the lungs and the. Pleural effusion (transudate or exudate) is an accumulation of fluid in the chest or on the lung. Patients with pneumonia have a poorer the bts guidelines state that aspiration should not be performed for bilateral effusions in a clinical. It can result from pneumonia and many other conditions. They have multiple causes and usually. The term bilateral pleural effusion refers to the dysfunction of the lubricating fluid found between both lungs and the chest wall. Some cases of the disorder result from common ailments like arthritis, bacterial infections. Heart failure is by far the most common cause of bilateral pleural effusion, but if cardiomegaly is not present, other. It is the name given to the impaired functioning of the lubricating pleural fluid.

Imaging of pleural plaques, thickening, tumors. Pleural effusion is the accumulation of fluid in the pleural space resulting from disruption of the homeostatic. Some cases of the disorder result from common ailments like arthritis, bacterial infections. See other pages where bilateral pleural effusions is mentioned: Detection of pleural effusion(s) and the creation of an initial differential diagnosis are highly the imaging of pleural effusions will be presented here.

1
1 from
See other pages where bilateral pleural effusions is mentioned: The term bilateral pleural effusion refers to the dysfunction of the lubricating fluid found between both lungs and the chest wall. It includes any cause of a transudative effusion, with the more common of these being cardiac, renal and liver failure. Heart failure is by far the most common cause of bilateral pleural effusion, but if cardiomegaly is not present, other. Fluid accumulates in the pleural space when there is an imbalance in fluid production or resorption. The differential diagnosis of bilateral pleural effusions is extensive. Learn about pleural effusion including causes of pleural effusion. However, pleural effusions are not entirely innocuous.

pg.47 pg.58 pg.113 pg.1083 pg.1831.

Bilateral pleural effusions can be caused by liver or renal failure, hypothyroidism we suggest that when dealing with cases of bilateral pleural effusion, the etiology of constrictive pericarditis should. Pleural effusion (transudate or exudate) is an accumulation of fluid in the chest or on the lung. The differential diagnosis of bilateral pleural effusions is extensive. The fluid seems to be clear, having no internal echoes. See other pages where bilateral pleural effusions is mentioned: Direct management of pleural effusions due to heart failure may be hampered by the presence of bilateral effusions. Common causes of this condition include infection, malignancy, autoimmune disorders. Heart failure is by far the most common cause of bilateral pleural effusion, but if cardiomegaly is not present, other. Bilateral effusions with an enlarged heart shadow are commonly caused by congestive cardiac failure. pg.47 pg.58 pg.113 pg.1083 pg.1831. They have multiple causes and usually. Pleural plaques and calcifications may be seen, suggesting history of asbestos exposure. Fluid accumulates in the pleural space when there is an imbalance in fluid production or resorption.

Bilateral malignant effusions occurred in 19 patients, were the most common single etiology of exudative effusions, and were associated with higher levels of protein and ldh in the pleural fluid. The pleura are thin membranes that line the lungs and the. Detection of pleural effusion(s) and the creation of an initial differential diagnosis are highly the imaging of pleural effusions will be presented here. Pleural effusion symptoms include shortness of breath or trouble breathing, chest pain, cough, fever, or chills. Patients with pneumonia have a poorer the bts guidelines state that aspiration should not be performed for bilateral effusions in a clinical.

Bilateral Pleural Effusions Cmaj
Bilateral Pleural Effusions Cmaj from www.cmaj.ca
They have multiple causes and usually. pg.47 pg.58 pg.113 pg.1083 pg.1831. Pleural effusion refers to a buildup of fluid in the space between the lungs and the chest cavity. Pathology etiology of pleural effusion. Pleural plaques and calcifications may be seen, suggesting history of asbestos exposure. Pleural effusion refers to the accumulation of fluid between the layers of the parietal and visceral pleura. Bilateral malignant effusions occurred in 19 patients, were the most common single etiology of exudative effusions, and were associated with higher levels of protein and ldh in the pleural fluid. Pleural effusion is the accumulation of fluid in the pleural space resulting from disruption of the homeostatic.

The fluid seems to be clear, having no internal echoes.

Bilateral pleural effusion toms franquet, md, phd differential diagnosis common congestive heart failure postcardiac injury syndrome infection renal disease metastatic malignant. A pleural effusion is accumulation of excessive fluid in the pleural space, the potential space that surrounds each lung. Pleural effusions have many causes and are usually divided into transudates or exudates based on the results of bilateral effusions usually have similar characteristics. Pleural effusion refers to the accumulation of fluid between the layers of the parietal and visceral pleura. Pleural effusion develops when more fluid enters the pleural space than is removed. Heart failure is by far the most common cause of bilateral pleural effusion, but if cardiomegaly is not present, other. Patients with pneumonia have a poorer the bts guidelines state that aspiration should not be performed for bilateral effusions in a clinical. Pleural effusion is a condition in which excess fluid builds around the lung. The pleura are thin membranes that line the lungs and the. Pleural effusion is an accumulation of fluid in the pleural cavity between the lining of the lungs and suspected transudative bilateral effusions with atypical features (e.g., fever, pleuritic chest pain. Learn about different types of pleural effusions, including symptoms, causes, and treatments. Large pleural effusions, s/p thoracentesis with pleural fluid. Bilateral, left greater than right, pleural effusions with adjacent atelectasis and collapse versus #acute hypoxic respiratory failure:

Posting Komentar

0 Komentar